氨基酸依赖的代谢重编程对肿瘤微环境中T细胞的抗肿瘤免疫至关重要。色氨酸(Trp)代谢物已被证明是肿瘤患者对免疫治疗产生反应的关键调节因子,并通过细胞环境依赖的机制发挥促进或抑制肿瘤的功能。然而,在肿瘤微环境中Trp对肿瘤激活CTLs的调控机制尚不完全清楚。
近日,天津大学医学部生命科学学院英才副教授吕春婉团队,在Oncogene(中科院一区TOP)上发表题为“Slc7a5 promotes T cell anti-tumor immunity through sustaining cytotoxic T lymphocyte effector function”的研究论文,文中指出:肿瘤细胞可诱导T细胞中Trp转运蛋白Slc7a5的表达上调,从而增加T细胞内Trp的水平以改善CTLs的抗肿瘤活性。分子机制上,Slc7a5-Trp代谢轴可通过激活AhR进而上调FasL的表达,以维持T细胞抗肿瘤的活性,遏制肿瘤的发生发展。

本文要点:
1)肿瘤细胞可诱导CTLs中Trp转运子Slc7a5的表达上调
首先建立肿瘤特异性CTLs和肿瘤细胞的共培养模型。代谢组学分析发现:肿瘤细胞激活的CTLs中Trp水平升高,全基因组RNA测序和ATAC测序分析发现:肿瘤细胞激活的CTLs中Slc7a5基因在转录水平上被激活。药理学上抑制Slc7a5可降低肿瘤激活CTLs对Trp的摄取和体外杀伤肿瘤细胞的活性。体内实验表明:相比野生型小鼠,仅在T细胞中缺乏Slc7a5(Slc7a5.TKO)的小鼠表现出肿瘤浸润T细胞水平的降低、肿瘤生长和转移的增加。以上结果均提示:肿瘤细胞可通过诱导CTLs上调Trp转运子Slc7a5的表达以促进T细胞的激活从而发挥宿主的抗肿瘤免疫监视作用。
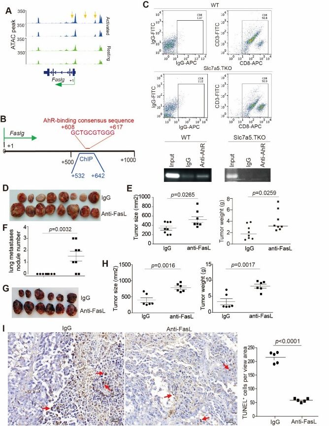
2)Slc7a5-Trp代谢轴通过激活AhR从而上调FasL的表达以维持T细胞的抗肿瘤活性
细胞信号通路分析显示:缺乏Slc7a5可导致小鼠肿瘤浸润T细胞中AhR代谢通路受损且FasL的表达被抑制;染色质免疫沉淀检测显示:AhR可与肿瘤浸润T细胞中Faslg的启动子结合,激活T细胞中FasL的表达。此外,FasL阻断可显著降低体内肿瘤细胞凋亡并促进荷瘤小鼠的肿瘤生长和转移。此外,FasL表达与患者对免疫检查点阻断剂的反应性和生存率成正相关。综上所述:Slc7a5-Trp代谢途径可通过激活AhR以上调肿瘤浸润CTLs中FasL的表达,从而促进T细胞的激活和功能并抑制肿瘤的发生发展。

图1 AhR在体内激活FasL的表达以抑制肿瘤的生长和转移
该论文的独立第一作者兼通讯作者为天津大学医学部生命科学学院英才副教授吕春婉,天津大学医学部生命科学学院博士研究生武妍敏,硕士研究生梁丽艳、杨英翠参与该工作。天津大学医学部生命科学学院为本论文的第一通讯单位,该工作得到国家自然科学基金项目的支持。
原文链接:DOI 10.1038/s41388-025-03543-5